אירוע מוחי, ישנם 2 סוגים:
אירוע מוחי אסכמי נגרם עקב קריש דם החוסם עורק המוביל דם למוח. קריש הדם יכול להיווצר באזור החסימה, בדרך כלל תוצאת תהליך טרשתי, או להגיע ממקום אחר בגוף (תסחיף).
ארוע מוח המורגי- נדיר יותר נגרם עקב דליפה של דם מכלי דם במוח.
תסמיני האירוע המוחי
תסמיני האירוע המוחי כוללים, בין היתר, קשיי הליכה, שיתוק, חולשה או חוסר תחושה בגפיים ואו בפנים, הפרעות בראיה והפרעות בדיבור.
מה לעשות?
מרגע שקרה האירוע המוחי יש לפנות באופן מידי לבית החולים. תאי המוח רגישים מאד. באירוע המוחי נפגעת אספקת החמצן ואז יש חלון זמן קצר מאד בו נדרש טיפול מתאים. אם ניתן הטיפול המתאים והנכון, הנזק שנגרם לחולה תוצאת האירוע המוחי יכול להיות קטן מאד.
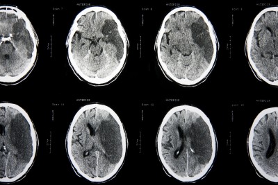
בבית החולים יש לעבור בדיקת ct מוח. הבדיקה נדרשת על מנת לאבחן את סוג האירוע המוחי, איסכמי או המורגי. ככל שמדובר באירוע אסכמי, בטווח של עד 3 שעות מקרות האירוע ניתן לתת תרופה הנקראת TPA. התרופה ניתנת בזריקה לווריד ותפקידה להמיס את קריש הדם.
לאחר ה 3 שעות הראשונות ועד שש שעות מקרות האירוע, גם ניתן לתת את ה TPA (יעילות נמוכה יותר), או לעשות צינתור.
גם לאחר 6 שעות יש טיפול במחלקה הנוירולוגית בבית החולים.
ככל שמדובר בארוע המורגי- אין לתת את ה – TPA ויש לבצע טיפול שונה.
על מי לחשוש מארוע מוחי?
הסובלים מיתר לחץ דם, סכרת, שומנים בדם, עישון רקע משפחתי וכו'.
זכויות רפואיות:
א. ביטוח לאומי – יש לאבחן אם מדובר בתאונת עבודה אם לאו.
תאונת עבודה – יש לבדוק האם האירוע המוחי ארע עקב העבודה. האם היה אירוע חריג במסגרת העבודה או מאמץ מיוחד אשר גרם לאירוע המוחי. רק אם יוכח כי אכן התקיים אירוע חריג או מאמץ מיוחד בסמוךלקרות האירוע המוחי, כי אז ניתן יהא לטעון כי מדובר בתאונת עבודה.
ככל שמדובר בתאונת עבודה, על הנפגע להגיש תביעה למחלקת נפגעי עבודה – להכרה בפגיעתו כפגיעה בעבודה.
אם תוכר תביעתו כפגיעה בעבודה, ניתן להגיש תביעה לנכות.
נכות כללית - ככל שאין מדובר בתאונת עבודה ונותרו מגבלות תפקודיות ניתן להגיש תביעה לנכות כללית.
בתביעה זו יפורטו המגבלות התפקודיות מהן סובל החולה ויצורף כל התיעוד הרפואי. החולה יזומן לוועדה רפואית, שם יבדקו הגבלותיו ובהתאם תקבע נכותו. בהתאם לקביעה זו, תקבע הגמלה החודשית לה הוא זכאי.
ב. ביטוח לאומי גמלת ניידות-
חולה אשר מוגבל ברגליו, משותק או מרותק לכיסא גלגלים- יכול לפנות לביטוח לאומי להגשת תביעת ניידות. גמלה זו מוענקת לנפגעים ברגליים המוגבלים בניידותם. במסגרת זו זכאי הנפגע לקבלת הטבות לרבות, גמלה חודשית כספית, השתתפות במימון רכב, מיסוי מופחת, הטבות ברכישת אביזרי עזר, אביזרי הרמה וכיו"ב.
ג. סיעוד
לאחר אירוע מוחי, לא אחת, נותרים הנפגעים עם הגבלות משמעותיות בתפקוד, עקב שיתוק ברגליים או בידיים, חולשה, חוסר תחושה וכיו"ב. תוצאת הגבלות אלו נדרש החולה לעזרה רבה בפעילויות היום יום. מצב סיעודי הינו מצב בו אדם אינו מסוגל לבצע, בכוחות עצמו, חלק מהותי (לפחות 50%), מפעולות בסיסיות יומיומיות:
הלבשה, רחצה, ניידות, מעברים בין קימה לשכיבה, אכילה ושתיה, שליטה על הסוגרים.
מה נבדק בכל אחת מאותן פעילויות?
• רחצה – נבדקת יכולתו העצמאית של אדם להתקלח לבדו, לרבות היציאה והכניסה למקלחת.
• הלבשה והתפשטות– באופן עצמאי.
• קימה ושכיבה - יכולתו העצמאית של אדם לעבור ממצב שכיבה לישיבה, לקום מכיסא ו/או להתיישב עליו.
• אכילה ושתייה- יכולתו העצמאית של אדם להאכיל את עצמו לאחר שהמזון הוכן והוגש לו.
• ניידות- יכולתו העצמאית של אדם לנוע ממקום למקום. על מנת שיוכח כי האדם אינו יכול להתנייד עצמאית, דורשת פוליסת הביטוח ריתוק לכיסא גלגלים, ללא יכולת להניע את הכיסא באופן עצמאי.
• שליטה על סוגרים – אי שליטה על הסוגר תוך שימוש במוצרי ספיגה או חיתולים.
על חולה שעונה להגדרות אלו או חלקן לפנות למוסד לביטוח לאומי להגשת תביעת סיעוד. ככל שתתקבל תביעתו יהא זכאי לשעות עזרה בפועל – טיפול ע"י מטפלת.
במקביל ככל שהחולה רכש פוליסת סיעוד – באופן פרטי או דרך קופת החולים- עליו למלא טופס תביעה, לצרף את התיעוד הרפואי הרלוונטי ולשלוח אל חברת הביטוח. לכשתוכר תביעתו, ככל שתוכר, יהא זכאי לגמלה חודשית, כנזכר בפוליסה.
ד. תביעת רשלנות רפואית –
יש לבדוק האם ניתן היה למנוע את האירוע המוחי, האם טיפול רפואי נכון היה מונע את מצבו של החולה. האם החולה ביצע בדיקות מעקב, סוכר, דם, לחץ דם. האם הרופא המטפל דאג לטיפול רפואי נכון על מנת למנוע או להוריד את הסיכוי לאירוע מוחי.
כן יש לבדוק האם בהגיע החולה לטיפול רפואי בקופת החולים או בבית החולים, האם האבחון היה נכון, האם בוצעה הפרוצדורה הנכונה, האם קיבל את הטיפול המיטבי, האם ניתן הטיפול המתאים? התרופות הנכונות?- אם לא כן, קמה לחולה עילה לתבוע את בית החולים ו/או הרופא המטפל ברשלנות רפואית.
ה. אובדן כושר עבודה-
ככל שהחולה נדרש, עקב מצבו הרפואי ומגבלותיו התפקודיות, להעדר מעבודתו, יש לבדוק האם מצבו עונה להגדרת אובדן כושר עבודה בפוליסה. ההגדרה השכיחה ביותר הינה אובדן של 75% מכושר העבודה של המבוטח לעסוק בעבודה בה עסק עד לתאונה או בעבודה דומה על פי השכלתו וניסיונו.
"המבוטח ייחשב כבלתי כשיר מוחלט לעבודה אם עקב מחלה או תאונה, נשלל ממנו בשיעור של 75% לפחות, ולתקופה העולה על תקופת ההמתנה הקבועה בפוליסה, הכושר לעבוד במקצוע שבו עבד או לעסוק בעיסוק שבו עסק עד אותה מחלה או תאונה ושבעקבותיהן נבצר ממנו לעסוק בעיסוק סביר אחר המתאים לניסיונו, להשכלתו ולהכשרתו. אם לא הייתה למבוטח תעסוקה בזמן התחלת אי הכושר, יחשב המבוטח כבלתי כשיר מוחלט לעבודה, אם עקב מחלה או פגיעה בגופו, יהיה המבוטח מרותק לביתו".
יש להגיש תביעה לחברת הביטוח המבטחת באובדן כושר עבודה – לצרף לתביעה את המסמכים הרפואיים, אישורי המחלה, אישורים מרופא תעסוקתי וכו'.
סיכומו של דבר
אירוע מוחי יכול לגרום לירידה ניכרת בתפקודו של האדם. לאחר האירוע המוחי צפוי, לרוב, הליך שיקום ארוך ואינטנסיבי. אדם שעבר אירוע מוחי זכאי, במקביל, להטבות הן במיסוי, הן בניידות, בביטוח לאומי, הטבות כספיות נוספות ועזרה בפועל.
מומלץ לפנות לעורך דין, אשר ילמד את המקרה, יבחן את כל התיעוד הרפואי, יכוון וימליץ כיצד על החולה לנהוג, איזה זכויות מגיעות לו ואיזה גוף יש לתבוע.



.png)
